

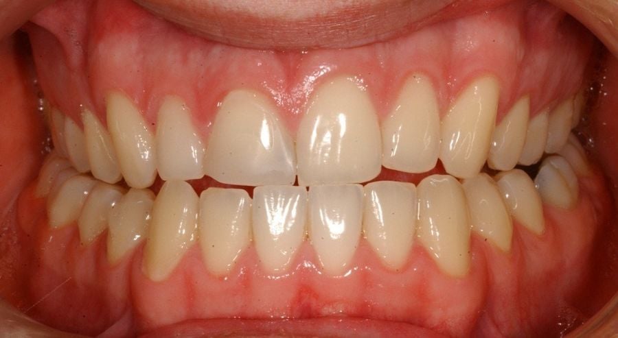
This 24 year old aspiring actor was unhappy with his smile. He suffered from occlusal and skeletal disharmony and asymmetry of his maxillary incisals. Orthodontic therapy as well as orthognathic surgery was performed. Afterwards, crown lengthening was cpmpleted on tooth #8.
Full mouth whitening followed by 4 feldspatic veneers on teeth #7-10. The end result was a complete esthetic transformation that the patient and dental team were proud of.